
見せる未病評価

お腹ソムリエ研究所
生活習慣を見える化する、新健康サービス
たった5分で
あなたの生活習慣を評価します

What's
お腹ソムリエ
エコーを使った
健康とダイエットのための評価プログラム
生活習慣の可視化をすることにより、現状の把握と未来予測が可能になりました。
そして、自分のお腹を目の当たりにした多くの体験者は、自覚が足りなかったことに気づき、健康への関心が一気に高まります。

特許取得

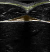
【隠れ肥満(食べ過ぎ)パターン】



人生100年時代、大切なのは
寿命と健康寿命の差をなくすことです

寿命=健康寿命
平均寿命は81歳から85歳に増加し、健康寿命は71歳から73歳に増加しました。しかし、そこには約10年の差が依然として存在します。
これは、生活習慣を見直し、健康な生活を促進するための行動変容が重要であることを示しています。
私たちはお腹ソムリエサービスを通して、個々の健康意識を高め、健康寿命を延ばすための一助となり、平均寿命とのギャップを縮めることを目指しています。

【平均寿命と健康寿命の差】
出典:e-ヘルスネット 平均寿命と健康寿命
(https://www.e-healthnet.mhlw.go.jp/information/hale/h-01-002.html)
健康管理の問題
なぜ、多種多様な健康管理ツールが
存在するにも関わらず、我々の健康意識は
高まらないのでしょうか?






答えは実にシンプルです。
それらが我々の感情に
訴えかけるものではないからです。」
私たち医療専門家は、これまでの健診結果やデータに基づくアプローチでは、人々を健康へと導くには不十分であると、経験上知っています。
データだけでは、人々の行動変容には繋がらないのです。
お腹ソムリエは
感情を動かす健康体験をつくる
感情が動く
意識が変わる
行動が変わる
このままでは
まずい…

なんとか
したい
お腹ソムリエは、自身の問題に直面し直観的に
「このままでは、まずい!」と感じさせる体験を提供します。
自分自身の生活習慣の状態と、改善のプロセスを明確に視覚化することで、感情を動かし、本質的な健康行動へと導きます。


お腹ソムリエの特長
これまでヒアリングやアンケートでしか
確認できなかった
生活習慣を客観的に評価することができます

本人に尋ねることなく、生活習慣の状態を把握することが出来ます。

本人も自覚していない「食べ過ぎ」や「運動不足」を明確に捉えることが可能です。

体型に関係なく、見た目が痩せていても
“食べ過ぎ”や“運動不足”などの実際の生活習慣の状態を客観的に評価できます。

生活習慣の改善や悪化の経過を継続的にチェックできます。
見える化
直感的に理解できる
生活習慣の視覚化
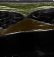
みぞおちに当てて出てくる画像のパターンによって、その人の「これまでの生活習慣」と「今後改善しなければならないこと」が分かります。

分析と点数化
重症度のレベル分けと総合点数化
計測データにより生活習慣の改善必要度を分析し、その結果を総合点数で示す報告書を作成。健康状態の詳細なフィードバックを提供します。

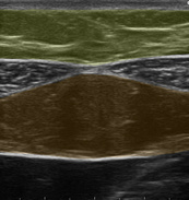
【理想的パターン】




【過剰な食べ過ぎと筋トレ不足パターン】




【隠れ肥満(食べ過ぎ)パターン】




【砂糖の過剰摂取と有酸素運動不足パターン】



インパクトある体験
もはや受ける人にとってはエンターテインメント

初めて
自分の生活習慣による
自分のお腹の構造変化を
自分の目で確認する
これは大きなインパクトをもたらします。
これにより当事者意識の変化が起こりやすくなります。
市場の反応
・体験者の声
・導入者の声
目標があるので続けられます!(23歳女性)

健康経営アドバイザー
企業の健康経営戦略に組み入れることで、従業員の生活習慣の状態が詳細に把握でき、具体的な改善策が提案可能になりました。従業員の健康意識向上が私のアドバイザリーサービス価値を高め、契約単価アップに直結しました。

ダイエット外来
患者が自分の体の変化を直接目で見ることで、ダイエットへの実感と動機付けが増します。リスクの高い患者を早期に特定し、迅速な介入で長期的な健康リスクを減少。これにより、当クリニックのダイエット外来は他と差別化されたサービスを実現しています。

トレーナー
イベントや個別管理を通じて、健康意識はあるが行動に移していない潜在顧客にアピール可能です。パーソナライズされたトレーニングプランで、新規顧客獲得と退会防止に効果的。ジムのマーケティング戦略としても絶大な効果を発揮しています。

健康は個人から
コミュニティの時代へ
お腹ソムリエが目指す課題解決
・個人の健康寿命の延伸
具体的かつ個別化された健康指導を提供することで
生活習慣病の予防や早期発見が可能となり、個人の
健康寿命の延伸に寄与します。
・医療費の削減
生活習慣病の予防により、将来的な医療費の削減が期待されます。これにより、国や自治体の医療財政の健全化にも貢献できます。
・企業の生産性向上
健康経営を実践する企業にとって、従業員の健康管理は生産性向上や従業員満足度の向上に繋がります。お腹ソムリエサービスを導入することで、企業の競争力を高めることができます。
・健康意識の向上
顧客が自身の健康状態を具体的に把握し改善に取り組むことで、全体的な健康意識の向上が図れます。
これは社会全体の健康水準の向上にも寄与します。
計測データにより生活習慣の改善必要度を分析し、その結果を総合点数で示す報告書を作成。健康状態の詳細なフィードバックを提供します。
さらにデータの共有と相互比較を通じて、個人の健康管理に留まらず
コミュニティ全体の健康意識を高めることができます。

お腹ソムリエが
提供する
インタラクティブな体験
2. リアルタイムのフィードバック:
3. 進捗の可視化と追跡:
4. エデュケーショナルな要素:
5. コミュニティとのエンゲージメント:
目標達成をサポート。また、パーソナライズされたフィードバックにより信頼関係構築に繋がる。
ご利用シーン

企業福利厚生プログラムへの組み込み

ウェルネスイベントの共催
ショッピングモールでウェルネスイベントを開催する場合、その一環としてお腹ソムリエサービスを提供。

提携・コラボレーション
ドラッグストア、健康食品、フィットネス、エステ、などの健康関連の他業種と連携し、ダイエットや健康関連イベントの新しい体験型集客イベントとして提供。
健康を通じた絆が企業を強くする
エコーで見える化
その場で数値化
分析で点数化
エンゲージメントの向上
お腹ソムリエ体験後には
その場で体験者同士でのコミュニケーションがうまれエンゲージメントの向上にもつながります。
実際に企業内で健康経営に取り入れてくださっているところでも、大変ご好評いただいています。






コミュニティー全体の集計
その集団に所属する人達の何割に生活習慣を改善しなければならない人がいるかを把握することができます。
健康診断では「問題なし」の方達の中に含まれる、生活習慣不良の割合の多さにきっと驚かれると思います。

投資対効果の見える化
介入によって、どれだけ改善したかを把握することができます。
食事に気をつけるべきなのか、運動するべきなのか、見える化することでより効率的に体質の改善が可能です。
実際に改善前と改善後を比較すると大きな差が生まれてきます。

お客様の声
「お腹ソムリエサービスを利用して、自分の健康状態を初めて詳細に知ることができました。内臓脂肪が予想以上に多いことがわかり、食生活の改善と運動を始めました。5ヶ月後に再度測定したところ、内臓脂肪が減少し、体調も良くなりました。自分の努力が数値として見えるので、モチベーションが維持しやすいです。」
(30代・会社員)
「従業員の健康管理の一環として、お腹ソムリエサービスを導入しました。生活習慣の見直しが必要な従業員にも反応があり、会社全体の健康水準や生産性も向上しました。社内コミュニケーションにとても役に立っているので継続していきたい。」
(50歳・経営者)
「仕事のストレスから暴飲暴食が続いていましたが、お腹ソムリエサービスでの測定結果を見て危機感を覚えました。専門家のアドバイスを受けて、食事と運動のバランスを見直したところ、半年で腹囲が5cm減少。健康診断の数値も改善され、仕事にも前向きに取り組めるようになりました。」
(42歳・営業職)

株式会社HIL
© 2024 HIL,inc. All Rights Reserved.